Федеральное государственное бюджетное учреждение НАЦИОНАЛЬНЫЙ МЕДИЦИНСКИЙ ИССЛЕДОВАТЕЛЬСКИЙ ЦЕНТР КАРДИОЛОГИИ ИМЕНИ АКАДЕМИКА Е.И. ЧАЗОВА Министерства здравоохранения Российской Федерации
Москва, ул. Академика Чазова, д.15а
Телемедицина Связаться с нами

Федеральное государственное бюджетное учреждение НАЦИОНАЛЬНЫЙ МЕДИЦИНСКИЙ ИССЛЕДОВАТЕЛЬСКИЙ ЦЕНТР КАРДИОЛОГИИ ИМЕНИ АКАДЕМИКА Е.И. ЧАЗОВА Министерства здравоохранения


  • Новости
  • Новости Кардиоцентра
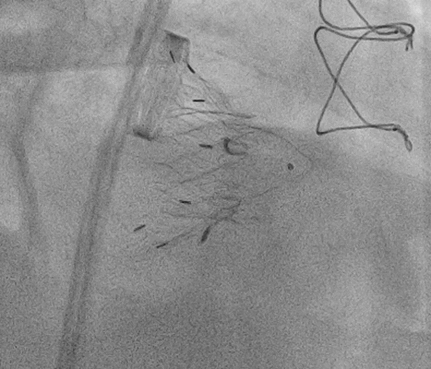
  • В НМИЦ кардиологии им. ак. Е. И. Чазова Минздрава России впервые в РФ и СНГ проведена успешная транскатетерная имплантация трикуспидального клапана у пациента крайне высокого хирургического риска
  • В НМИЦ кардиологии им. ак. Е. И. Чазова Минздрава России впервые в РФ и СНГ проведена успешная транскатетерная имплантация трикуспидального клапана у пациента крайне высокого хирургического риска

    В НМИЦ кардиологии им. ак. Е. И. Чазова Минздрава России в отдел сердечно-сосудистой хирургии поступил пациент 84 лет с жалобами на одышку при минимальной физической нагрузке, выраженные периферические отеки (выше колена), увеличение живота в объеме, на общую выраженную слабость. При обследовании была выявлена недостаточность трикуспидального клапана 5 степени. В анамнезе хроническая ревматическая болезнь сердца, пальцевая комиссуротомия митрального клапана (2000 г), протезирование митрального клапана механическим протезом(2010г). гипертоническая болезнь III стадия, контролируемая артериальная гипертензия, риск сердечно-сосудистых осложнений очень высокий.

    Осложнения: Нарушение ритма и проводимости сердца: постоянная форма фибрилляции предсердий, нормосистолия; блокада правой ножки пучка Гиса. Хроническая сердечная недостаточность с промежуточной фракцией выброса левого желудочка 2 стадия IV функциональный класс, асцит, анасарка. Хроническая болезнь почек 4 стадии. ОНМК (1982). Перелом диафиза левой бедренной кости (2024г).

    Данные жалобы беспокоят пациента в течении последних 6 месяцев. Учитывая тяжёлую трикуспидальную недостаточность за счёт эктазии кольца трикуспидального клапана, значимую сепарацию (расхождение) створок трикуспидального клапана, препятствующую выполнению пластики по типу «край в край», а также прогрессирование явлений сердечной недостаточности, бесперспективность медикаментозной терапии пациенту была выполнена транскатетерная имплантация трикуспидального клапана.

    Применена транскатетерная система замены трёхстворчатого клапана второго поколения. Она предназначена для пациентов с тяжёлой регургитацией трёхстворчатого клапана и высоким хирургическим риском. Система позволяет функционально заменить собственный клапан пациента на искусственный клапан-стент без проведения открытой операции на сердце. Имплантация выполняется через яремную вену, что упрощает операцию, сокращает её длительность, размер разрезов и повреждение тканей сердца. Пациенты сохраняют гемодинамическую стабильность в ходе всей операции, так как отсутствует необходимость искусственного кровообращения. Для контроля имплантации клапана используется чреспищеводная и трансторакальная эхокардиография, рентгеновское исследование не обязательно.

    25 марта 2026 года бригадой кардиохирургов в составе руководителя лаборатории гибридных методов лечения сердечно-сосудистых заболеваний отдела сердечно-сосудистой хирургии профессора, д.м.н. Имаева Т.Э., Кучина И.В., Колегаева А.С., Лепилина П.М., Саличкина Д.В. в стенах ФГБУ «НМИЦ кардиологии им. ак. Е.И. Чазова» Минздрава России впервые в РФ выполнена имплантация трикуспидального клапана у пациента высокого хирургического риска. Эхо-навигацию и контроль обеспечили сотрудники ультразвуковых методов диагностики во главе с руководителем отдела ультразвуковых методов исследования профессором, д.м.н. Саидовой М.А., совместно с Макеевым М.И., Галаевой М.А., Смирновым С.М.

    Операция прошла успешна, клапан имплантирован с минимальными парапротезными регургитациями до 1 степени, которые, как правило, закрываются через 1- 3 месяца после имплантации. В настоящее время пациент экстубирован, гемодинамически стабилен и готовится к переводу в отделение для дальнейшей активизации и лечения. (Лечащие врачи Комлев А.Е., Кантемирова М.М.).

    транскатетерная имплантация трикуспидального клапана

    Новость на сайте Минздрава России.

    Пресс-служба НМИЦ кардиологии им. ак. Е.И. Чазова Минздрва России

    САМКО-2025 (Прямой эфир)