Транскатетерная замена аортальная клапана – эндоваскулярное вмешательство, которое выполняется пациентам с критическим стенозом аортального клапана. По мере увеличения количества таких вмешательств возрастает потребность в повторной имплантации клапана при развитии его дисфункции по различным причинам.
Пациент 77 лет из Владикавказа поступил в Чазовский кадиоцентр с недостаточностью ранее имплантированных протезов аортального клапана. Впервые транскатетерная имплантация биологического аортального клапана ему была выполнена в 2014 году в Германии. На протяжении длительного времени состояние пациента оставалось стабильным, однако в 2022 году была выявлена дисфункция клапана, связанная с естественной дегенерацией его створок, что послужило поводом для повторной транскатетерной имплантации клапана. Повторная операция «клапан-в-клапан» была выполнена в мае 2022 года в другом федеральном центре с хорошим результатом. В сентябре 2022 года в возрасте 75 лет у пациента отмечалось ухудшение клинического состояния, был выявлен инфекционный эндокардит - воспаление соединительнотканной (внутренней) оболочки сердца, выстилающей его полости и клапаны, следствием которого являлось полное разрушение створок имплантированного протеза с выраженной недостаточностью аортального клапана и аортальной регургитацией, арактеризующимся обратным током крови из аорты в левый желудочек сердца. В связи этим пациенту была запланирована третья транскатетерная имплантация клапана.
Анализ отечественной и международной литературы не выявил описанных случаев эндоваскулярной имплантации клапана в два ранее эндоваскулярно установленных протеза. Это позволяет предположить, что подобная операция была выполнена впервые в мире. Описанные случаи предполагают установку эндоваскулярных клапанов только в имплантированные ранее хирургическим путем, но не в случае трех эндоваскулярно имплантированных клапана (TAVR-TAVR-TAVR, valve-in-valve-in-valve, «Russian doll» concept - концепция матрешки). Имплантация была выполнена с установкой клапана в высокую позицию, потому что экспериментальные модели продемонстрировали высокий риск неоптимального раскрытия клапана при его стандартном раскрытии.

Модель высокой позиции клапана для обеспечения оптимального раскрытия створок и уменьшения степени стенозирования за счет материалов трех клапанов
Операция выполнялась руководителем Отдела рентгенэндоваскулярных методов диагностики и лечения, главным научным сотрудником, д.м.н. Меркуловым Е.В., старшим научным сотрудником, к.м.н. Терещенко А.С. и научным сотрудником, к.м.н. Арутюнян Г.К. Клиническую подготовку и анестезиологическую поддержку обеспечивали сотрудники Отдела неотложной кардиологии (руководитель отдела - главный научный сотрудник, д.м.н. Певзнер Д.В.), а также сотрудники блока интенсивного наблюдения под руководством заведующего Зюряева И.Т. и врачей Кушнира П.Ф., Дулаева Л.О., Тереничевой М.А. Во время вмешательства осуществлялся ангиографический контроль проходимости коронарных артерий с раздуванием баллона в корне аорты. Эндоваскулярное вмешательство прошло без осложнений с хорошим клиническим результатом. У пациента полностью регрессировала недостаточность аортального клапана. Пациент с улучшением состояния был выписан из Отдела неотложной кардиологии НМИЦ кардиологии им. ак. Е.И. Чазова Минздрава России. За ним будет продолжено динамическое клиническое наблюдение.

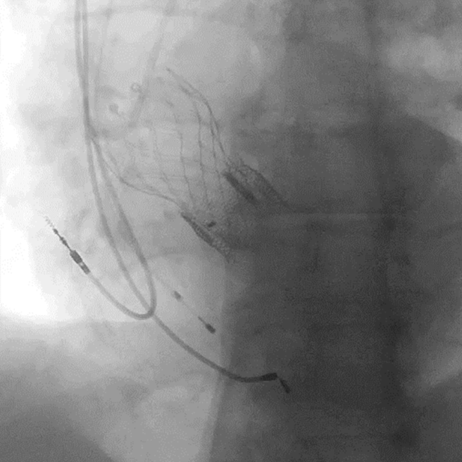
Исходное положение ранее установленных клапанов

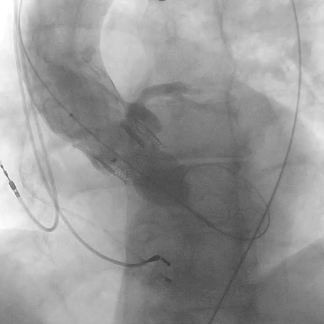
Контроль проходимости коронарных артерий при раздутом баллонном катетере

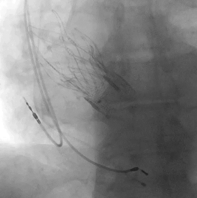
Результат вмешательства
В настоящее время транскатетерная имплантации аортального клапана становится рутинной. В связи с этим вероятно, что подобные операции с имплантацией клапана в клапан займут свое место у пациентов с деструкцией ранее установленных протезов, что требует поиска оптимальных подходов к выполнению вмешательства, включая нестандартную позицию клапана с учетом изменяющейся анатомии после имплантации нескольких клапанов.